Diaphragmatic Hernia with Hepatic Adhesion to the Lateral Thoracic Wall

Overview : Diaphragmatic hernia is a defect or tear in the diaphragm that allows abdominal organs to enter the thoracic cavity

It can be congenital (rare) or acquired, most commonly due to trauma

History

Clinical signs

Diagnosis

Presenting complaint: Labored breathing and lethargy , history of being rescued recently

  • Tachypnea
  • Abdominal effort during respiration
  • Cyanotic mucous membranes
  • Delayed CRT (>2 sec)
  • Poor body condition,

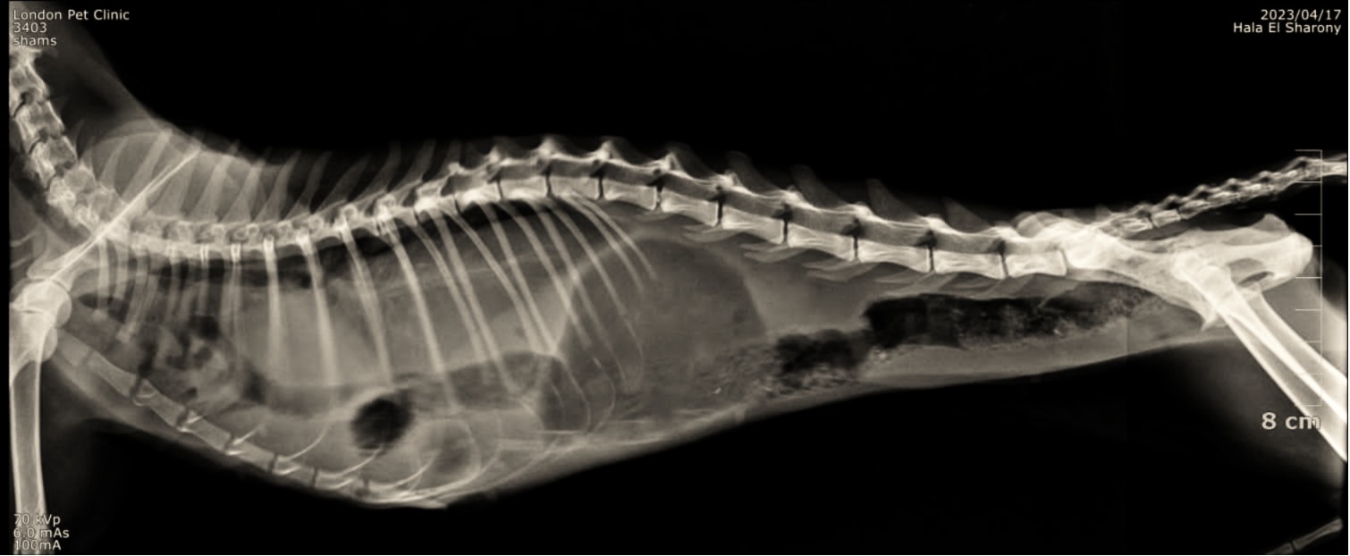
. Thoracic Radiographs

  • Loss of normal diaphragmatic line
  • Loops of gas-filled bowel visible within the thoracic cavity
  • Heart silhouette displaced cranially
  • Reduced lung fields (atelectasis)
  1. Ultrasound
  • Confirmed presence of liver lobes and intestines in thoracic cavity
  • Diaphragmatic discontinuity visualized

Diaphragmatic Hernia with Hepatic Adhesion to the Lateral Thoracic Wall

Loss of normal diaphragmatic line Loops of gas-filled bowel visible within the thoracic cavity

intestines & Liver lobe passing through a narrow hole after being healed over

Dissection of the intraabdominal adhesive part of the live

Widening the herniation to allow organ exteriorization

Lacerations while dissection compressed with Gelfoam to minimize the parenchymal injury

.

.

Explore Our New uploads

RECENT SURGICAL PROCEDURES

© All Rights Reserved