Femoral Head Ostectomy

Femoral Head and Neck Ostectomy (FHO) is a salvage surgical procedure performed to eliminate pain and restore functional limb use in animals suffering from severe hip joint

disease

The surgery involves removing the femoral head and neck, thereby eliminating bone-to-bone contact and allowing a fibrous pseudoarthrosis (“false joint”) to form
This procedure is particularly suitable for cats and small dogs, as their lighter body weight

allows excellent functional recovery postoperatively

In cats, particularly lightweight breeds such as the Scottish Shorthair, FHO yields excellent outcomes, even in bilateral cases of hip dysplasia

History

Clinical Signs

Surgery

A 1.5-year-old male Scottish Shorthair cat was presented to the clinic with a history of progressive hindlimb lameness and difficulty jumping.
The owner reported that since early age, the cat had shown stiff movement, reluctance to climb, and occasional vocalization when handled.
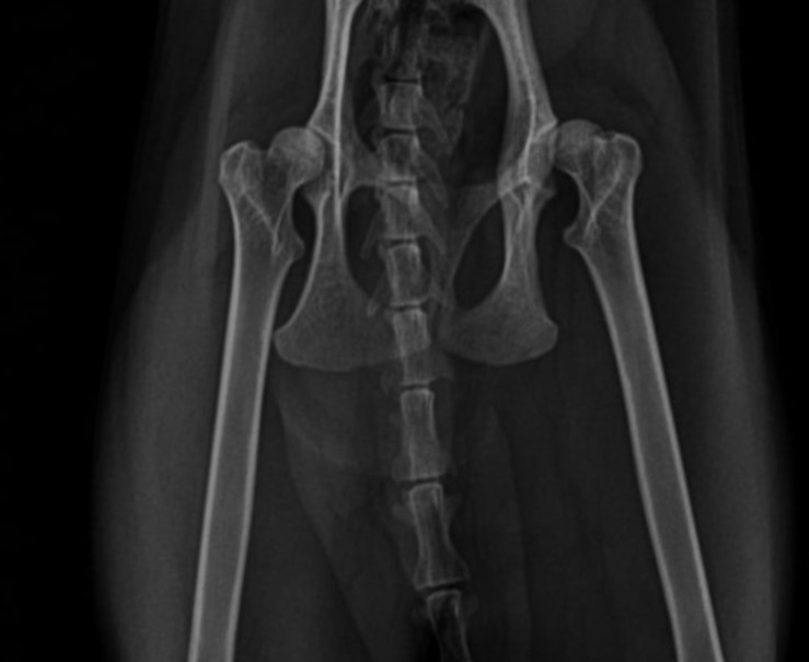
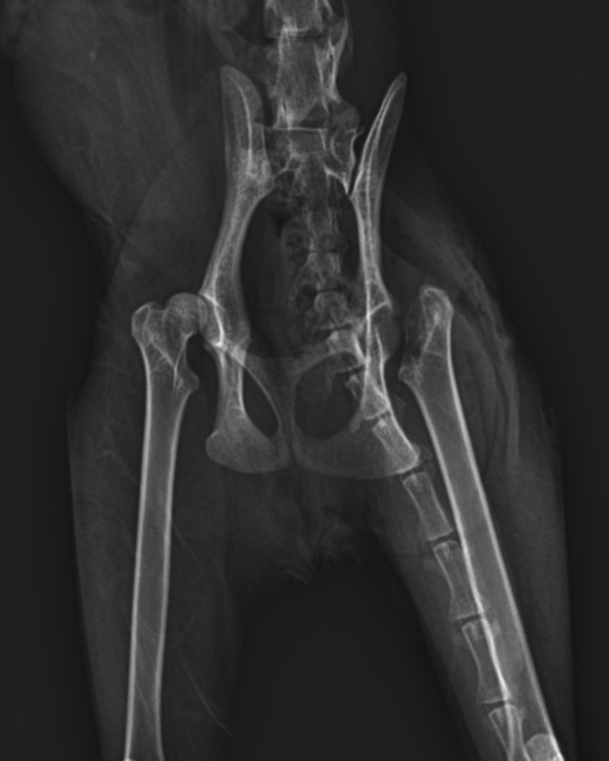
No history of trauma was noted. The condition gradually worsened, affecting both hindlimbs mor severe in the right hind limb

  • Bilateral hindlimb lameness with a “bunny-hopping” gait pattern
  • Pain and crepitus upon hip manipulation
  • Positive Ortolani sign confirming hip joint laxity
  • Normal neurological function

Bilateral FHO was recommended starting with the right most affected limb and the other to be scheduled after 2 months

Surgery

.

.

.

.

.

.

.

.

.

.

.

.

.

.

.

.

Explore Our New uploads

RECENT SURGICAL PROCEDURES

© All Rights Reserved