Femoral Head Ostectomy

Femoral Head and Neck Ostectomy (FHO) is a salvage surgical procedure performed to eliminate pain and restore functional limb use in animals suffering from severe hip joint

disease

The surgery involves removing the femoral head and neck, thereby eliminating bone-to-bone contact and allowing a fibrous pseudoarthrosis (“false joint”) to form
This procedure is particularly suitable for cats and small dogs, as their lighter body weight

allows excellent functional recovery postoperatively


History

Clinical Signs

Surgery

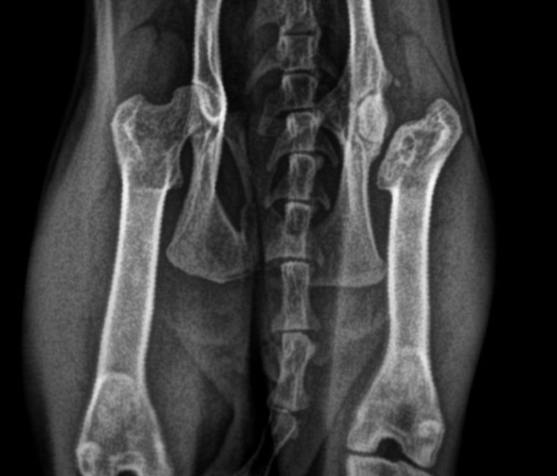
A 2-year-old male rescue domestic shorthaired cat was presented to the clinic with a history of hindlimb lameness and pain following an unknown traumatic event.
The cat was recently rescued from the street and had been non–weight-bearing on the left hindlimb for several days before presentation.

The cat was alert but anxious

  • Left hindlimb showed:
    • Marked pain and crepitus on manipulation of the hip joint.
    • Limb shortening and external rotation of the stifle.
    • Non–weight-bearing lameness.
    • Normal distal reflexes and paw sensation.

Surgical treatment : FHO surgery

Surgery

Coming Soon

Coming Soon

Explore Our New uploads

RECENT SURGICAL PROCEDURES

© All Rights Reserved