Hemangiosarcoma in Dogs

Hemangiosarcoma is a malignant cancer that originates from endothelial cells .

Some breeds of dogs, such as Golden Retrievers and German shepherds, are predisposed the most common sites of origin include the spleen, right auricle/atrium of the heart, and subcutaneous tissue below the skin.

Unfortunately, hemangiosarcoma is a very aggressive type of cancer which tends to metastasize to intraabdominal organs and the lungs, which makes the long-term prognosis poor for most dogs with this disease

History

Clinical Signs

Diagnostics

Surgery

Histopathology

9 years old German shepherded presented for sudden collapse at home, pale gums, and abdominal distension.

Owner reported intermittent lethargy and reduced appetite over the past two weeks

  • Pale mucous membranes (CRT > 2.5 sec)
  • Tachycardia (HR: 180 bpm)
  • Weak femoral pulses
  • Abdominal distension with fluid wave
  • Respiratory rate: 40 breaths/min, shallow breathing
  • Lethargic and depressed mentation

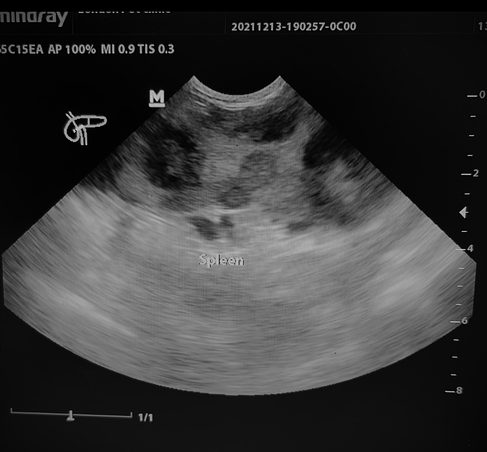
Abdominal Ultrasound:

  • Large, irregular splenic masses (~18 cm )
    • Free abdominal fluid
    • No obvious liver metastases, but small hypoechoic nodules present
  • Thoracic Radiographs:
    • No obvious pulmonary metastases
    • Splenic mass

The standard of treatment for splenic hemangiosarcoma's that have not yet metastasized to the lungs consists of surgery to remove the measurable (bulky or visible) disease followed by chemotherapy to delay the progression of metastatic disease

histologically mass was confirmed Hemangiosarcoma

Surgery

.

.

3D of the CT scan shows the lesion extending till the TMJ

3D of the CT scan shows the lesion extending till the TMJ

ventral approach extending from the symphysis to the TMJ

animal is placed in dorsal recumbency

.

.

S/C Dissection

tumor capsule

.

.

Explore Our New uploads

RECENT SURGICAL PROCEDURES

© All Rights Reserved